News
Browse our latest news for the lowdown on what’s happening across our group of practices as well exciting updates from Linnaeus. We hope you enjoy a slice of some of the remarkable and heart-warming stories that showcase the amazing work our Associates do each and every day.
- Details
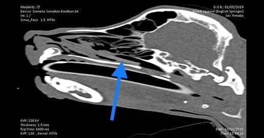
A top vet at one of our northern small animal hospitals has expressed her amazement after retrieving an 8cm stick from the nose of a young springer spaniel.
- Details
Our Somerset referral centre went above and beyond the call of duty for its nominated charity by saving the life of one of its staff’s pets.
- Details
Meet the dream team of leading female vets at our Essex referral centre, who have earned glowing reviews for their remarkable work at Southfields Veterinary Specialists.
- Details
A Yorkshire animal hospital is urging dog owners to be vigilant after treating a case of the potentially-fatal infection lungworm in a young Sprocker Spaniel
One-year-old Poppy was seriously ill when she was referred to Paragon Veterinary Referrals, in Wakefield, after a dramatic deterioration in her health over the previous fortnight.
- Details
The tragic death of a friend’s five-year-old daughter has set a Surrey vet on a mission to raise money to combat sudden cardiac deaths in young people
Sarah Ramsey, clinical director at Alder Vets in Guildford, Surrey, has vowed to complete 12 challenges in 12 months in memory of Ariana Jahangir and to support the charity Cardiac Risk in the Young (CRY).
- Details
Our Herefordshire primary care vet practice Leadon Vale Veterinary Centre is introducing a range of alternative therapies such as acupuncture and physiotherapy to help ease the aching joints of elderly pets
Leadon Vale is to offer the treatments in a bid to help pets who could be suffering from conditions such as arthritis, back pain and even respiratory disease.
- Details
One of our leading Staffordshire primary care vet practices is officially cool for cats after being awarded prestigious international status
Shires Vets, in Eccleshall Road, Stone, has been recognised as a gold level cat clinic by the International Society of Feline Medicine (ISFM).
- Details
The acclaimed Emergency and Critical Care (ECC) service at our West Midlands referral centre Willows has been expanded following the appointment of another leading specialist
The whole team are delighted to welcome ECC specialist Poppy Gant to Willows. Poppy, who graduated from the University of Liverpool in 2014, said she was delighted to be joining one of Europe’s leading small animal referral hospitals.
- Details
One of the UK’s leading vet groups has formed a unique partnership with Investors in the Environment (iiE) as it puts sustainability at the heart of its future plans
Linnaeus, which has 44 primary care and 12 referral practices across the UK, is the first company to partner with the iiE’s environmental accreditation in such a way, with up to 50 per cent of its practices initially taking part in the scheme.
- Details
One of our dedicated vets here at Milbourn Equine is in the running to scoop a prestigious’ Amateur Rider of the Decade’ award from leading national publication Horse and Hound.
Page 80 of 84









